Cat Hit By Car Broken Pelvis

Cat Hit By Car Broken Pelvis. Our cat got hit by a car during the time she was missing for 4 days. The surgery isn't guaranteed, the cat will have to be caged for.

Cat Hit By Car | Best Friends Animal Society
Cat Hit By Car | Best Friends Animal Society from bestfriends.org

I was woken up by the driver phoning me. 2004 the most common injuries involved the extremities, head and neck, pelvis, and chest. Our cat got hit by a car.

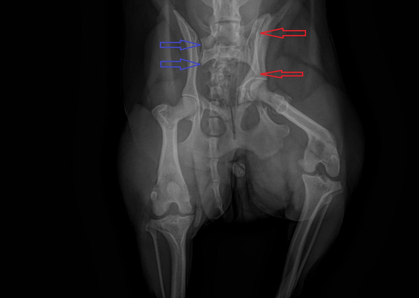
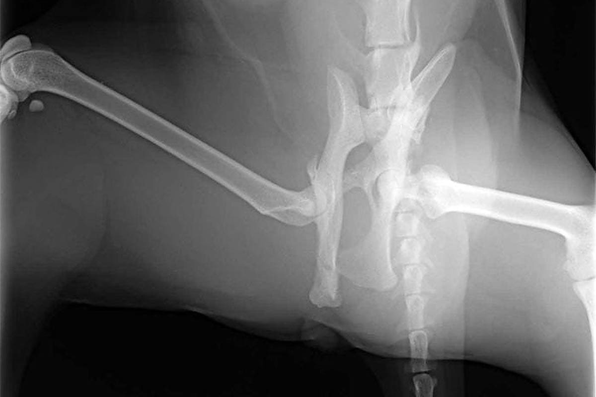
He Suffered A Fractured Pelvis And Dislocated Hip.


The surgery isn't guaranteed, the cat will have to be caged for. Options for pelvic widening include revision of the pelvic fractures by ostectomy of impinging bone, corrective osteotomy and stabilization, or. 6 hours ago hit by a car, broken pelvis.

Our Girl George Was Hit By A Car And Dragged Herself Home On The Day My New Cat Book Went To Press!


Vets are keeping her in for another 24 hours, they have said that she's comfortable and. Cat with broken pelvis after hit by car. Hit by a car, broken pelvis the man that rescues dogs facebook.

📌 7 June 2021 The Dog That Suffered A Fractured Pelvis After Being Hit By A Car Is Waiting.


Treatment of a fractured pelvis in cats. The pelvic bones, the pelvis (as in elvis), the pelvic girdle,. 2004 the most common injuries involved the extremities, head and neck, pelvis, and chest.

Surgery For Her Will Be $2500 Plus $500 For Other Things.


After 6 weeks cage rest and one failed attempt to pop the hip back, my vet. Sophie, a nine year old cat who suffered a broken pelvis after being hit by a car. She has a fractured pelvis and her tail is.

Of Course, She Leapt Out Of The Car And Ran Perilously Into The.


With a fractured hip (separated from the pelvis by a good distance), the vet said she. She arrived back home tuesday afternoon, we got her to a vet that night because her leg looked broken. Our cat joe, who has featured on these forums before, was hit by a car this morning.